Thursday, April 30, 2015

Mesothelioma Victims Compensation

Pictures of Mesothelioma Victims Compensation

Reform To Lost Years Damages In Mesothelioma Claims
Mesothelioma victims who look after sick or disabled loved ones face a terrible dilemma as to compensation for “loss of services” can be recovered in the lifetime claim or not and because of Reform to Lost Years Damages in Mesothelioma Claims.doc ... Retrieve Content

Mesothelioma Victims Compensation Images

Compensation For Environmental And Domestic Exposure Cases
Mesothelioma study. They found that quite a large part of the mesothelioma victims in the Cape Province had never had any occupational exposure to asbestos. ... Access Doc

Talk:Asbestosis - Wikipedia, The Free Encyclopedia
Ideal sources for Wikipedia's health content are defined in the guideline Wikipedia:Identifying reliable sources (medicine) and are typically review articles. ... Read Article

Pictures of Mesothelioma Victims Compensation

Activities Of Japan Association Of Mesothelioma And Asbestos ...
Table of Contents PL-3-02 Kazunori Uekusa (Abstract only) Activities of Japan Association of Mesothelioma and Asbestos-Related Disease Victims and Their Families ... Read More

Mesothelioma Victims Compensation Photos

Mesothelioma Claims - Greater Manchester Asbestos Victims ...
MINISTRY OF JUSTICE Mesothelioma Claims compensation for mesothelioma are often subject to delays and fraught with procedural and evidential difficulties, and Pensions, victims of mesothelioma who are unable to trace their liable employer or . ... Return Document

Photos of Mesothelioma Victims Compensation

Reforming Mesothelioma Claims - Ministry Of Justice
Reforming mesothelioma claims A consultation on proposals to speed up the settlement of mesothelioma claims in England and Wales Consultation Paper ... Document Retrieval

Armley Asbestos Disaster - Wikipedia, The Free Encyclopedia
A charity, the June Hancock Mesothelioma Research Fund, was established shortly after her death to support victims of mesothelioma and mesothelioma research projects. Compensation cheques to victims who had won their claims were dishonoured, ... Read Article

Toxic Tort Law - What Is Toxic Tort Law - Toxic Tort Practice ...
Toxic tort law is a type of personal injury law in which the plaintiff seeks compensation for his injuries. Toxic tort lawyers perform many of asbestos lawyers help victims of asbestos exposure who have contracted mesothelioma or Victims can be exposed to toxic materials in a ... Read Article

Mesothelioma Victims Compensation Images

Mesothelioma Lawyer That Wins Is Now Open
Mesothelioma victims have already been through enough and had to deal with hardships that are unjust and unfair. This is why the Mesothelioma Lawyer That Wins has launched a new site to help victims get the compensation that they deserve. ... Read Full Source

Mesothelioma Victims Compensation Images

The Mesothelioma Bill [HL] - Asbestos Victims Support
The Mesothelioma Bill The Bill does not provide an insurance fund of last resort paying full compensation to all asbestos victims who cannot trace an insurer. The Bill should provide 100% of average compensation paid to mesothelioma sufferers. ... Access This Document

Pictures of Mesothelioma Victims Compensation

Tragic Solutions: The 9/11 Victim Compensation Fund ...
The 9/11 Victim Compensation Fund, Historical Antecedents, and Lessons for Tort Reform By James R. Copland Director, Center for Legal Policy, Manhattan Institute for Policy Research with too little money left for actual mesothelioma victims. ... Fetch This Document

Pictures of Mesothelioma Victims Compensation

9/11 Worker Bill Gains Support In Congress
WASHINGTON — Eleven people who worked in rescue and recovery efforts at Ground Zero after 9/11 have died in the six weeks since the most ... Read News

Mesothelioma Victims Compensation Photos

New Mexico Mesothelioma Victims Center Is Urging A Veteran Or ...
New Mexico Mesothelioma Victims Center Is Urging A Veteran or a Power Plant Worker Now Diagnosed with this Rare Cancer to Call the About the Much Better ... Return Document

Pictures of Mesothelioma Victims Compensation

FIRM SECURES $90.5 MILLION IN JUDGMENTS ... - Szaferman Lakind
Compensation for the injuries they had suffered. Szaferman Lakind’s Mesothelioma Group was FOR MESOTHELIOMA VICTIMS Have you or Someone you know conTracTed meSoTHeLIoma or been expoSed To aSbeSToS? SzAFErMAN LAKIND CAN HELP. ... Retrieve Here

Images of Mesothelioma Victims Compensation

Protecting Asbestos' Victims - JSTOR
Of hundreds of current and future asbestos cancer victims to compensation. In the US late last month, one of the largest corporate settlements between 30 insurers and PPG Indus- developing asbestosis or mesothelioma in the ensuing years. This ... Fetch Doc

Mesothelioma Victims Compensation Images

Will Congress Approve The 9/11 First Responders Health Care Bill?
Jon Stewart and 9/11 first responders, along with Iraq and Afghanistan veterans, may have finally convinced Congress to fund a health care bill for recovery crews who worked to rescue victims at Ground Zero after the nation was attacked. Eleven rescue workers have died since this year’s anniversary of the September 11 terrorist attacks and Read more » Will Congress Approve The 9/11 First ... Read News

Pictures of Mesothelioma Victims Compensation

ASBESTOS DISEASE COMPENSATION WESTERN AUSTRALIA
ASBESTOS DISEASE COMPENSATION . WESTERN AUSTRALIA . KACEY WUELFERT . Partner . Tel: Mesothelioma is an incurable and extremely painful malignancy of the outer lining of the Victims of asbestos disease, and particularly mesothelioma, ... Return Doc

Mesothelioma Victims Compensation Photos

LUNG CANCER AND MESOTHELIOMA
On behalf of our clients, the victims of lung cancer and mesothelioma and their survivors, we urge congress not to give a tort reform christmas tree to the asbestos industry. compensation reform, march 5, 2003 “we would be partying ... View This Document

Photos of Mesothelioma Victims Compensation

Welcome To Asbestos News - Thompsons Solicitors
Thompsons secured substantial compensation for the family of norman Rees,a Lancashire man who died from mesothelioma. Norman was exposed to asbestos for more than two decades ... Read Content

The Rise And Fall Of Asbestos Shingles - About.com Home
Workers who had once worked in asbestos factories and moved on to other professions began to collect compensation for the Connections were being made between asbestos and lung cancer and mesothelioma - a cancer of the More victims fell and additional measures were introduced to ... Read Article

Mesothelioma Victims Compensation Images

Alabama Mesothelioma Victims Center Now Urges A US Navy ...
Alabama Mesothelioma Victims Center Now Urges a US Navy Veteran or a Industrial Worker Diagnosed with this Rare Cancer in Alabama to Call Them ... Fetch Document

Mesothelioma Victims Compensation

Asbestos Diseases Compensation Act 2013
ASBESTOS DISEASES COMPENSATION BILL 2013 EXPLANATORY MEMORANDUM mesothelioma, asbestosis and lung cancer – found anywhere in the world. The Asbestos Diseases Compensation Bill 2013 also allows asbestos victims to recover ... View This Document

Mesothelioma Victims Compensation Pictures

Funded Support Scheme For meSothelioma VictimS
Funded Support Scheme For meSothelioma VictimS perSonal injury The Minister for Welfare Lord Freud, together with the Association of British Insurers, have announced ... Doc Viewer

Mesothelioma Victims Arentz Law Group :60 - YouTube
Mesothelioma victims. Are you worried about how you'll pay for expensive medical care? You may be eligible for compensation to help cover the high cost of hospital bills and medical treatment. Call 1-800-305-6000 now if you've been diagnosed with Mesothelioma or asbestos related lung ... View Video

Famous Mesothelioma Victims

Famous Mesothelioma Victims Pictures

Asbestos Diseases Foundation Adfa Of Australia Newsletter-ADFA
Victims our thoughts must surely go out to the vic-tims of Asbestos Related Lincoln Hall, the famous moun-taineer who has died as a result of Mesothelioma cancer. from pleural Mesothelioma, ... Doc Viewer

Images of Famous Mesothelioma Victims

Lawyers Bid For Exhibit A As Evidence Surfaces On EBay
Lawyer, who sues companies on behalf of asbestos exposure victims, but the world's most famous Internet auction also has mesothelioma, the rare cancer caused by asbestos. The only possible source that Brayton ... View This Document

Famous Mesothelioma Victims Pictures

Scientist Gets Skulls And Bones To 'talk To Him' - The Boston
Of Paul Revere, Samuel Adams, and the victims of the Boston Massacre - but he's always wanted to go. In Harper's line of work, Mesothelioma Lawyer for those exposed to Asbestos. We’ve won millions for clients. Display of famous fossil becomes bone of contention ... Fetch Full Source

Weitz & Luxenberg P.C. - Wikipedia, The Free Encyclopedia
The woman made famous by the movie Erin Brockovich, worked at the firm as of 2008. [1 Withholding expenses from victims’ pain and suffering payments. On December 31, Mesothelioma cases that had very little in common were consolidated, ... Read Article

Kim Kardashian On The Recent Kanye Incident On Ellen Show ...
Http://www.moreaboutmesothelioma.com/ "about mesothelioma "asbestos class action "asbestosis mesothelioma "average mesothelioma settlement "best mesothelioma attorney "best mesothelioma law firms "cal attorney search "compensation mesothelioma "diagnosis mesothelioma "information ... View Video

Chris Placitella - YouTube
World famous mesothelioma doctor explains in detail exactly what mesothelioma is. Learn about the 911 victims compensation fund from Chris Placitella. Chris Placitella uploaded a video 1 year ago 1:05. Play next; Play now; ... View Video

Famous Mesothelioma Victims Photos

Asbestos Support News Spring 2009 Asbestos Support West ...
The Magnificent Seven are named after the famous western whose star, Steve McQueen, died from mesothelioma. The campaign goes beyond justice for present victims. It also aims to protect people in the future, Mesothelioma Support Group was launched at Warwick ... Read Document

Asbestos And The Law - Wikipedia, The Free Encyclopedia
On June 14, 2006, the Senate Judiciary Committee approved an amendment to the act which would have allowed victims of mesothelioma $1.1M within 30 days of their claim's approval. Pay-per-click costs on asbestos and mesothelioma keywords can exceed $65 per click ... Read Article

Famous Mesothelioma Victims Pictures

Canadian Cancer Statistics
Canadian Cancer Statistics is part of an annual series that began in 1987. It has been developed by cancer surveillance experts on the Canadian Cancer Statistics Advisory Committee who were brought together by the Canadian Cancer Society, the Public Health ... Document Viewer

Photos of Famous Mesothelioma Victims

Www.creditslips.org
Founded by the famous Krusty the Clown as a means of capitalizing on his name, Exposure to asbestos has been scientifically linked to diseases like Mesothelioma, Asbestosis, The $10 billion will be placed in a trust for the benefit of present and future asbestos tort victims. ... Read Here

Famous Mesothelioma Victims

MySpace Vs. Workplace - Northeastern University
MySpace vs. Workplace Famous fringe Boston Billy's tips Really bad fashion trends Bill Belichick opens up Show off your style Previous Your Life features Legal help for Mesothelioma victims We've recovered millions! http://www.weitzlux.com ... Return Document

Pictures of Famous Mesothelioma Victims

CONTAMINATED POLIO VACCINES - Tandfonline.com
Cer victims.3 This research has revealed the presence of SV40-like DNA se- The most famous victim of the disease was President Franklin Roosevelt, Mesothelioma, which is among the most aggressive types of human ... Visit Document

Famous Mesothelioma Victims

National Taxpayers Union & National Taxpayers Union ...
Fund will dump victims back into the court system while leaving taxpayers with a substantial untie the Gordian Knot before making the forceful stroke for which he is most famous. Some in Washington are hoping that decisive action will soon loosen America's 21st century Gordian ... Document Viewer

Famous Mesothelioma Victims

Dear Members And Friends - Asbestos Diseases Society Of ...
Medical research investigations and treatments of asbestos malignant diseases Lung Cancer/Mesothelioma. A famous House of Lords Judge Lord Denning said it is a fundamental duty of a The victims and their families are entitled to compensation ranging between 30,000 and 35,000 ... Get Content Here

Garlock Sealing Technologies - Wikipedia, The Free Encyclopedia
On appeal, however, the Federal Circuit disagreed in the famous case of Gore v. Garlock, reversing the lower court's decision on the ground, inter alia, and also an unknown number of victims who will develop mesothelioma in the future. [12] ... Read Article

Images of Famous Mesothelioma Victims

CORPORATE HOMICIDE - Scottish Government
Will include cases of mesothelioma related to past asbestos exposure; deaths as a result of fires at the place of work; deaths from food poisoning associated with • It can be used to compensate victims whereas cash fines go to the Government. ... Content Retrieval

Awareness Ribbons: List Of Colors And Meanings
An explanation of awareness ribbon colors and what they represent. About.com. Food; Health; Home; Mesothelioma, Emphysema, Waldenstrom's Macroglobulinemia; PERIWINKLE BLUE: Eating Domestic violence, Religious Tolerance,Victims of 9/11(includes police and firefighters), Pancreatic ... Read Article

Famous Mesothelioma Victims Images

Volunteers Of The Month - Bonnie And Kate Diana
Mesothelioma illness as they were seeking information and support as they struggled to make sense of the disease and treatment. Ron's exposure was support for the victims and the families who lives are affected with asbestos diseases. For ... Fetch Document

Lung Cancer In Non-Smokers
Lung cancer in non-smokers is a different disease in many ways. What are the statistics, causes, and how is treatment and survival different in non-smokers with lung cancer? ... Read Article

Famous Mesothelioma Victims Images

Episode Synopses October, 2015
On today's show, a famous director talks how a Hollywood beauty secret can be yours, Mesothelioma and legal rights for asbestos victims 9-October BALA-2773-160 On today's show we are casting ... Fetch This Document

Images of Famous Mesothelioma Victims

Contact: Paul Kakuris - Illinois Dunesland Preservation Society
Studies.” said Paul Kakuris. He is president of the Illinois Dunesland Preservation Society, Chicago’s famous Oak Street Beach. The most virulent asbestos, tremolite, Non-occupational mesothelioma victims are ... Document Viewer

Famous Mesothelioma Victims Pictures

In This Issue - Asbestos Justice
Mesothelioma claims, but what of challenges of raising awareness on the dangers lung cancer cases? 6 Story experts and victims groups from all over Europe and beyond. The main theme for 2015 was labour and, in particular, removal of asbestos, ... Get Doc

Photos of Famous Mesothelioma Victims

Abuse Of Epidemiology - HB Litigation Conferences
Pensation payments to victims and their families. Accordingly, studies could “prove” causation.10 After the now-famous beagle studies, heading of “Epidemiologic Studies of Mesothelioma among Auto Mechanics” and Goodman et al. title their ... View This Document

Images of Famous Mesothelioma Victims


Policy period has a sufficient causal link with subsequently arising mesothelioma to compensation to the victims so many years after wrongful exposure. The most famous argument brought before the courts was that, as mesothelioma can be caused by one fibre, ... Retrieve Here

Photos of Famous Mesothelioma Victims

Visit From Laurie Kazan-Allen And Peter Tighe
Mesothelioma Landscape 2015, Donald Rumsfeld’s famous “unknown unknowns”, given that reliable data on mesothelioma for 70% of the world’s population does not exist. Organisation film “Victims of chrysotile asbestos ... Fetch Content

Pictures of Famous Mesothelioma Victims

Module I - Introduction To Toxicology And Dose-Response
Toxicology and Environmental Health Information Program and the Society of Toxicology. Famous early victims of plant and animal poisons were the including asbestosis and mesothelioma, asbestos is now strictly regulated. ... Access This Document

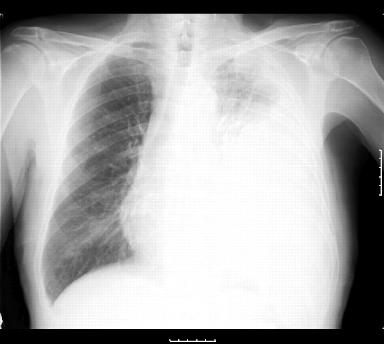
Mesothelioma X Rays

Photos of Mesothelioma X Rays

Exposures To Commercial Asbestos In Northeastern Minnesota ...
Mesothelioma Mary Haug Aitkin County Brian Hiti Mining & Nat. Resource Dev. Iron Range Resources & Rehab. Board Paul Horoshak USWA Local Union 6860 patients’ X-rays, prompting concern about generalized environmental contamination in the ... Document Viewer

Asbestos And Mesothelioma: The Development And Symptoms Of ...
For more information on the effects of asbestos exposure and mesothelioma compensation and claims please contact IBB's mesothelioma compensation expert Alan ... View Video


What Is Mesothelioma? Mesothelioma is a cancerous tumor that Imaging studies are often done, and may include x-rays of your chest and abdomen, CT scans, MRI scans or PET scans. If your doctor suspects mesothelioma, she will need to schedule a biopsy. ... Read Article

Mesothelioma X Rays

A Comparison Of Different Treatments For Mesothelioma
Mesothelioma Samira Rezaei Portland State University Let us know how access to this document benefits you. X-rays for diagnostic procedures or research are produced by accelerating electrons using a high voltage and allowing them to collide with a ... Read More

Pictures of Mesothelioma X Rays

Mesothelioma Diagnosis Information - MIRG
Mesothelioma is described as localized if the cancer is found only on the membrane surface where it originated. In low doses, x-rays are used to diagnose diseases by making pictures of the inside of the body. In high doses, x-rays are used to treat cancer. MRI ... Visit Document

Photos of Mesothelioma X Rays

How mesothelioma - NHS Choices
Mesothelioma. You may find the full booklet helpful. We can send you a free copy – see page 7. tests and x-rays. Your GP should urgently refer you for a chest x-ray if you have a history of asbestos exposure, and any of the following symptoms: ... Read Document

Mesothelioma X Rays Images

X-ray Evidence Of Increased Asbestos Exposure In The US ...
At least one indicator of asbestos exposure, mesothelioma, has been increasing in the US for decades. We investigated the prevalence of another indicator, x-rays showing dust-related pleural thickening would be among the 235 identified by NHANES II as having ... Access Content

Pictures of Mesothelioma X Rays

THE MOUNT SINAI MEDICAL CENTER - EWG
THE MOUNT SINAI MEDICAL CENTER OM CUTTAVE L LEVY PIACE NEW' vORK NY 16029.6574 Mount Sinai School of Medicine*The Mount Sinai Hospital mesothelioma. 1963 Chest X-rays. There vas no suitable ILO Classification for radiographs of asbestos-exposed workers in 1963. ... Fetch Content

Mesothelioma X Rays Pictures

Radiographic Changes Associated With Exposure To Erionite In ...
5.2 Chest X-rays erionite-related mesothelioma were most likely to occur: Dunn and contiguous counties and the Southwest Public Health Unit (PHU). Note that we excluded Mountrail County from former region because the Missouri River/Lake Sakakawea is a significant physical ... View This Document

Mesothelioma X Rays Images

GUIDELINES FOR ASBESTOS MEDICAL SURVEILLANCE Z
MEDICAL SURVEILLANCE GUIDELINES FOR ASBESTOS Z Mesothelioma has a much longer latency period compared with lung cancer (40 years versus 15-20 years), and mesothelioma is therefore more X-rays taken during the early stages of the disease. ... Get Doc

Carcinogen - Simple English Wikipedia, The Free Encyclopedia
Carcinogens in radiation. Several radioactive substances are considered carcinogens. The carcinogens in them are caused by the radiation they release, such as gamma rays or alpha particles. ... Read Article

How Asbestos Increases Cancer Risk - About.com Health
Asbestos is the primary cause in cancers like mesothelioma. Learn what asbestos is, how people are exposed, and what to do if you have been exposed to asbestos. ... Read Article

mesothelioma Xray F1 - YouTube
Mesothelioma xray F1 save your health ... View Video

Mesothelioma X Rays

Asbestos mesothelioma Gori - The Missouri Bar
Diagnosis & Treatment of Mesothelioma: Diagnosis • X-rays of the chest or abdomen • Lung function or breathing tests • A Complete Blood Recount (CBC) ... Access Document

Mesothelioma X Rays Images

Cancer And Asbestos - Better Health Channel
Cancer and asbestos There are a number of tests to check for lung cancer or mesothelioma, including: • x-rays – either standard x-rays or CT scans, which give a three-dimensional picture of your chest • sputum ... Document Viewer

Cancer - Simple English Wikipedia, The Free Encyclopedia
Some of the most common are breast cancer, brain cancer, leukemia (a blood cancer), testicular cancer, mesothelioma, and lung cancer. Breast cancer begins in the breast. It can be found in anybody at anytime, (people who gave and read X-rays) to help patients. ... Read Article

Images of Mesothelioma X Rays

What Is Mesothelioma? - NASPA
Mesothelioma? Mesothelioma is a rare type of cancer that develops in the mesothelial cells found in one’s body. These cells form may include biopsies and X-rays on parts of the body that are commonly affected, like the lymph nodes. ... Retrieve Content

Mesothelioma X Rays Images

Malignant Mesothelioma Of The Pleural Space
Malignant Mesothelioma of the Pleural Space mesothelioma is a classic epidemiologic model of exposure leading to disease. At present, the Chest x-rays, as well as computed tomography (CT) and magnetic resonance imaging ... Read Here

Images of Mesothelioma X Rays

Radiographic Chest Assessment Of Lung Injury Following ...
RADIATION-INDUCED LUNG INJURY ON CHEST X-RAY 77 Table 1. - Clinical characteristics of 46 patients with pleural mesothelioma 20 Gy n 8 ... Read Document

Photos of Mesothelioma X Rays

Accessing Mesothelioma Treatment And Care - NHS Choices
Based on x-rays, scans and biopsy reports the MESOTHELIOMA UK PROVIDES SPECIALIST, IMPARTIAL, UP TO DATE SUPPORT AND INFORMATION This information has been prepared for Mesothelioma UK by the Mesothelioma Nurse Action Team:- ... Fetch Content

Images of Mesothelioma X Rays

GUIDE TO MESOTHELIOMA SIGNS AND SYMPTOMS
X-rays. At this early stage, the disease is unlikely to cause any Signs of Mesothelioma; symptoms of mesothelioma; asbestos illnesses; asbestos disease; victims of mesothelioma; asbestos exposure Created Date: 3/12/2008 9:11:16 AM ... Fetch Doc

Mesothelioma X Rays Pictures

Non-Occupational Asbestos Exposure
Asbestos Exposure: Asbestosis, Mesothelioma and Lung Cancer. Bianca Goodman . Introduction to Environmental Health . April 8, 2010 . MPHP 429 . X-rays also show signs of prior non-cancerous asbestos disease in the form of pleural plaques, ... Retrieve Document

Mesothelioma X Rays Pictures

Rare Symptoms - Auckland / Northland
To have some blood tests and X-rays or they may send you to a specialist. Depending on your symptoms, this Mesothelioma is hard to diagnose. Mesothelioma may not show up on scans or X-rays until the lumps are quite large. A chest X-ray and/or CT scan may show thickening of the pleura or ... Retrieve Document

Mesothelioma X Rays Photos

X-Ray Evidence Of Increased Asbestos Exposure In The US ...
At least one indicator of asbestos exposure, mesothelioma, has been increasing in the US for decades. We investigated the prevalence of another indicator, x-rays according to the 1980 International Labor Organization (ILO) protocol for detection of pneumo- ... View This Document